
Veneers – Frederick, MD
Revitalize Your Smile
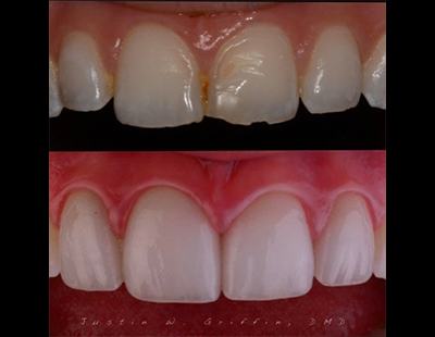
If you’re looking for a simple way to completely transform your smile, you may not have to look any farther than porcelain veneers. In fact, many celebrities have perfect-looking teeth because of porcelain veneers! These small ceramic sheaths are attached to the front surfaces of your teeth to conceal many kinds of flaws, including the following:
- Chipped or cracked teeth.
- Gaps between teeth.
- Misshapen teeth.
- Slightly misaligned teeth.
Porcelain veneers can change the color, size, positioning, and shape of your teeth and, therefore, can totally revamp your appearance and confidence.
Why Choose My Frederick Dentist for Veneers?
- High-quality materials used
- Customized treatment plan just for you
- Team of experienced, compassionate dental professionals
Benefits of Veneers

Because of the materials and process used in porcelain veneers, this treatment option has many advantages, including:
- Lifelike aesthetics. The material reflects light just like natural enamel.
- Durability. These veneers can hold up against the normal wear and tear.
- Versatility. With one simple treatment, veneers can address multiple issues at once.
- Stain resistance. Porcelain resists stains even better than tooth enamel.
- Long lifespan. With the proper maintenance, your veneers can last up to 20 years!
One thing to keep in mind is that this procedure is permanent, so you need to be sure about your treatment decision before moving forward.
Getting Veneers

The process for having porcelain veneers placed is simple. Once you and one of our skilled dentists have determined that porcelain veneers are the right treatment choice for you, we will follow these steps:
- Your dentist will remove a small portion of your teeth’s enamel on the front to make space for the veneers.
- We will take impressions of your teeth and send this information to a trusted dental lab.
- We will attach temporary veneers before you leave our office.
- Dental technicians will craft your custom veneers for a precise fit.
- When your veneers are ready, you’ll come back to our Frederick office, and your dentist will bond them to your teeth for a flawlessly, beautiful smile.
Instead of several procedures to address all your teeth’s imperfections, we can complete the porcelain veneer process in just two appointments!
Making Veneers Last

In order for your veneers to last a significant amount of time, you need to take care of them. Luckily, they require the same maintenance as your natural teeth—brushing twice and flossing once daily and visiting our practice for checkups and cleanings twice annually. For added care, you can consider drinking more water and cutting back on your sugar intake. By taking these small steps, you help ensure that your veneers remain firmly adhered to your teeth and continue to look amazing for years to come!
Are you ready to get started with porcelain veneers? Contact our team to schedule your consultation today!
Understanding the Cost of Veneers

When it comes to transforming your smile, veneers in Frederick are a great way to achieve the Hollywood look you desire. But remember, the quality you receive is largely based on the investment you make, which is why it’s important to choose a trusted cosmetic dentist as well as make sure veneers are the right cosmetic treatment for you. Depending on your smile goals, you’ll want to take the time to consider all your options, so you can enjoy a more beautiful aesthetic in the end.
Cost vs. Cosmetic Dentistry: What’s Right for Me?

When meeting with your cosmetic dentist, you’ll discover there are many services at different cost points that can improve the look of your smile in various ways. Some of the most common include:
- Veneers: If you want to transform your smile quickly and easily and hide imperfections like chips, cracks, stains, minor gaps, or even minor misalignment issues, you can’t go wrong with veneers. Although they are not the cheapest option, their versatility and customization will ensure you walk away with a fully enhanced smile that can last a decade or longer with proper care.
- Dental Bonding: If you’re only concerned about hiding a few minor tooth fractures or chips, dental bonding is a much more affordable solution that can be completed in just one appointment. Not to mention, it is virtually painless and can last several years before requiring a touch-up.
- Teeth Whitening: When stains and discoloration keep you from looking your best, teeth whitening is a great way to blast away years of coffee remnants and give you a whiter, brighter smile. You should know, however, that teeth whitening can only change the color, not the shape or size of your teeth, which may or may not be what you prefer when undergoing a smile transformation.
- Orthodontics: If a gap or bite misalignment is the problem, veneers may not be enough to actually fix the issue. Much more expensive, they are an investment in your time and money but can produce life-changing results that cannot be attained with any other solution. Our team can go over whether your case is serious enough for braces or if veneers are a viable option for you.
How to Make Veneers Affordable

Veneers are a cosmetic treatment and unfortunately, they are not covered by dental insurance. But just because you can’t receive help from your insurer doesn’t mean your cosmetic dentist in Frederick doesn’t offer alternative ways to pay for your treatment as well as keep costs low.
At My Frederick Dentist, we are pleased to offer a membership club that covers basic and advanced procedures for one small monthly fee. This means you can avoid deductibles, annual maximums, and waiting periods! We also offer flexible financing through CareCredit, which allows you to apply for a low or no interest payment plan, helping you to stay within your budget.
Veneers – Frequently Asked Questions
How Much Do Veneers Cost?
It’s impossible to give you a cost estimate without your coming in for a consultation. This is because the amount you’ll end up paying will vary quite a bit depending on a few factors, such as how many veneers you’re receiving and on which teeth they’re being placed.
While veneers might seem a bit on the costlier side upfront, consider the fact that they are well worth the expense to get a perfect smile you can be proud of. In addition, they last considerably longer than other cosmetic treatments like direct bonding and teeth whitening. If you want a dazzlingly beautiful smile that can last for up to 20 years, then veneers are your best choice.
Am I a Good Candidate for Veneers?
If you have any of the smile flaws described above, like chips, stains, cracks, or gaps, then veneers may be just the treatment you need to revitalize your smile. However, we generally ask that you have adequate oral health before you can receive veneers. This means that if you have tooth decay or gum disease, we’ll have to address those problems prior to placing veneers. Also, if you grind your teeth, we highly suggest getting a custom nightguard to prevent damage to your veneers while you sleep.
Does It Hurt to Get Veneers?
Not at all! We’ll numb you up with a local anesthetic to ensure you don’t feel a thing during the veneers placement process. In smaller cases, like the placement of two to four veneers, you shouldn’t experience any soreness following your procedure. For cases with six or eight veneers, though, there may be some discomfort for a few days afterward. This can easily be managed by taking an over-the-counter pain medication like ibuprofen.
Will Veneers Restrict My Diet?
With veneers, you can eat pretty much anything you want, but each patient is different. We recommend eating softer foods for a few days after placement until you get used to your new bite. There are some foods that we suggest you avoid so that you don’t damage your veneers, which include:
- Chewing ice
- Hard breads
- Hard candies
- Caramel apples
- Pumpkin seeds
- Hard nuts
- Popcorn
Do Veneers Stain?
Veneers are much more highly resistant to discoloration than your natural tooth enamel. This means you can enjoy items like coffee, tea, and berries to your heart’s content without worrying that they will stain your teeth. However, just to be on the safe side, it helps to brush your veneered teeth at least twice a day to remove particles that may cause discoloration if they accumulate over time.
Are Veneers Permanent?
These porcelain shells are incredibly long-lasting but might eventually require replacement, so they’re not necessarily considered ‘permanent’. With that said, they’re not intended to be frequently inserted and removed, like dentures.
However, for them to fit correctly, our team in Frederick must remove a small amount of enamel, which doesn’t regenerate. That means getting veneers involves making irreversible alterations to the structure of your teeth, which can be considered permanent. You’ll need to have these covers, or another appropriate restoration, in place to safeguard your smile moving forward.
What Happens to the Teeth Under Veneers?
Although your My Frederick Dentist provider is happy to place veneers to improve your appearance and boost your confidence, their primary concern is to protect and preserve your oral health. As a result, they only remove a minimal amount of enamel (usually about 0.5 mm) from your teeth to maintain as much of their original structure as possible.
Then, the hard shells provide an additional layer of protection to shield your grin once they’re cemented over the front surfaces of your teeth. They don’t cover all sides, though, so you’ll still need to brush and floss twice daily to remove plaque and bacteria that contribute to common oral issues, like cavities and gum disease.
Will Veneers Give Me a Lisp?
Veneers are intended to be as thin as possible while maintaining their durability, but it still takes your mouth a bit of time to adjust to their presence. Some patients develop a slight lisp, slur, or other alterations to their speech patterns for a couple of weeks until their tongue and the other supporting muscles acclimate.
For example, you might struggle to clearly enunciate sounds that require pressing your tongue against your teeth, like “s”, “v”, or “th” words. Fortunately, these changes are typically temporary and can be overcome with enough time, patience, and practice. If your lisp persists, our team may be able to thin your restoration slightly to reduce its impact.
How Long Do Veneers Last?
These porcelain shells are incredibly resilient and can remain in good shape for 20 years or longer, though it depends significantly on how well they’re cared for. One study shared in 2007 found that 96% of them lasted 5 years, 93% lasted 10 to 11, 91% stuck around for 12 to 13 years, and 73% lasted 15+ years.
You can preserve them by implementing a twice-daily at-home dental hygiene routine of brushing and flossing. You should also avoid foods that could damage or discolor them, like anything overly crunchy, hard, sticky, or darkly pigmented. You should also schedule a routine checkup and cleaning with our team every 6 months so we can monitor your condition and address any issues before they progress.